ー 顎変形症・認定医制度について ー
顎変形症とは
顎変形症(がくへんけいしょう)とはあごのずれが大きく、上下のあごの位置関係に異常をきたしているため歯のかみ合わせが大きくずれている、顔にゆがみがあるような症状です。
顎変形症によるかみ合わせの異常は正しい発音がしづらい・できない、食べ物の咀嚼がしづらいなどの問題だけでなく、コンプレックスを感じるなど精神的なストレスにもつながります。
顎変形症学会認定医について
当院の院長は顎変形症学会認定医を取得しています
※認定には審査・試験だけでな、通算5年以上の顎変形症に関する診療実績などの経験が必要となります。 認定医にはそれぞれの患者さんの症状に対しての専門的な診断を元に、インフォームドコンセントや適切な治療法の提示・十分な説明だけでなく、口腔医療の専門家と連携と治療を実現させる高度な技術を求められます。
認定医申請条件
- 日本国の歯科医師免許証を有し,良識ある人格を有する者
- 5年以上継続して日本顎変形症学会の会員であること
- 歯科医師の臨床研修修了後,通算5年以上,顎変形症に関する診療に従事していること
(診療実績:顎変形症の診断,治療計画,矯正治療を 5 例以上経験) - 認定医制度の定める研修実績および診療実績を有すること
(教育研修・指定関連学会での学術発表・指定学術雑誌への論文掲載等)
顎変形症の治療について
顎変形症では歯の生える位置や傾きだけでなく、あごの骨そのものに不正咬合の原因があるため、歯を動かす矯正治療単独ではかみ合わせを改善することが難しく、歯科口腔外科や形成外科でのあご切りの外科手術を併用して治療を行います。
顎変形症における矯正治療では通常「術前矯正」と「術後矯正」をおこないます。
・術前矯正とは
外科手術をおこなう前に歯並びを整えておく矯正治療です。
顎変形症の場合はすでにかみ合わせが悪い事が多く、その状態で外科手術をおこなっても良好な結果を得る事が難しくなります。術前矯正では術後のかみ合わせが適切になるように計画をおこないます。
・術後矯正とは
外科手術後に骨が繋がった後に最終的な歯並び、かみ合わせの治療をおこないます。
術前矯正では対応たきなかった点などの治療も術後矯正でおこないます。
顎変形症の流れ
顎変形症の一般的な治療の流れをご説明します。
※外科手術については連携先より内容が異なる場合がございます。
1:顎変形症の検査
2:術前矯正
期間としては1年~2年が目安となります。
3:外科手術
あごの骨の位置や状態によって、下顎のみを切離する場合と、上下両顎の切離が必要となる場合があります。1週間から10日程度の入院が必要となります。
4:術後矯正
期間としては半年~1年前後が目安となります。
5:保定期間
期間としては2年程度が目安となります。
顎変形症は顎口腔機能診断施設認定の矯正歯科で矯正歯科治療と指定自立支援医療機関認定の口腔外科・形成外科での外科手術をおこなった場合に保険適用となります。
顎変形症の方の矯正治療の多くは外科手術を必要とするため保険が適用されますが、顎変形症の診断を受けても、矯正歯科だけでの治療が可能な場合は保険が適用されません。
当院は富山県より顎口腔機能診断施設の認定を受けていますので保険を適用した矯正治療をおこなう事ができます。
また、自己負担の医療費が高額になった場合に適用される高額医療費を利用する事ができます。
顎変形症の症例
顎変形症 Case-1
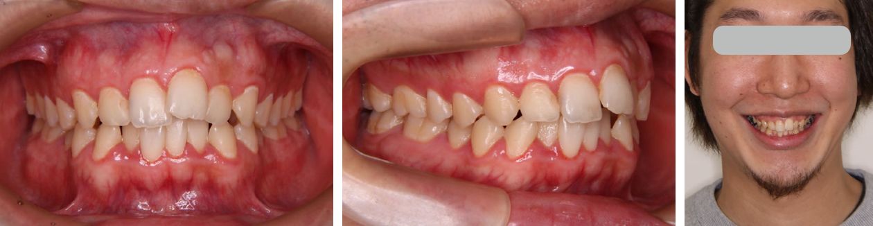
治療前(21歳10ヶ月)
初診時の症状では上唇の下縁からオトガイ(顎の先)までが長く、口を閉じた際にオトガイ筋に緊張(オトガイに皺ができている状態)がみられます。
治療後(24歳7ヶ月)
外科手術と術後矯正が終わり装置を外した状態です。上唇の後退感や下顎の突出感が改善され口を閉じた際のオトガイの緊張もみられなくなっており、調和のとれた側貌と良好なかみ合わせになりました。
| 主訴 | 下顎前突・開咬 |
|---|---|
| 治療内容 | スタンダードエッジワイズ法にて外科的矯正治療を行いました。 |
| 治療に用いた主な装置 | マルチブラケット装置 |
| 抜歯部位 | 小臼歯非抜歯 |
| 費用 | 保険適用 |
| 通院回数/治療期間 | |
| 副作用・リスク | 装置を初めて装着した時とワイヤーの調節を行った直後に数日間痛みを感じる場合があります。 歯に矯正装置を装着するため、歯磨きをしづらくなって磨き残しが多くなり、虫歯や歯周病にかかりやすくなることがあります。 歯を動かすことにより、歯根吸収や歯肉退縮が起こる場合があります。 歯並びを整え、きちんと噛めるかみ合わせと調和の取れた口元を作るために、やむを得ず健康な歯を抜く場合があります。 保定のためのリテーナーを適切に使用しないと後戻りする場合があります。 |
※矯正歯科治療は公的健康保険の対象外の自由(自費)診療となります。
顎変形症 Case-2
治療前(28歳3ヶ月)
初診時の診断では上顎が下側に過成長しており、下顎の後退もみられ、笑った際に歯茎が大きくみえる状態(ガミースマイル)でした。検討の結果、ガミースマイルの改善に現状より高い位置への上顎移動、下顎骨を前方に移動させ上突交合の改善する治療計画をしました。
治療後(31歳10ヶ月)
外科手術と術後矯正が終わり装置を外した側貌からは上顎、下顎のバランスも改善されています。ガミースマイルも改善がされ外科矯正をによる良い治療結果が得られました。
| 主訴 | 上顎下方への過成長・ガミースマイル |
|---|---|
| 治療内容 | スタンダードエッジワイズ法にて外科的矯正治療を行いました。 |
| 治療に用いた主な装置 | マルチブラケット装置 |
| 抜歯部位 | 上顎両側4番抜歯、下顎両側4番抜歯 |
| 費用 | 保険適用 |
| 通院回数/治療期間 | |
| 副作用・リスク | 装置を初めて装着した時とワイヤーの調節を行った直後に数日間痛みを感じる場合があります。 歯に矯正装置を装着するため、歯磨きをしづらくなって磨き残しが多くなり、虫歯や歯周病にかかりやすくなることがあります。 歯を動かすことにより、歯根吸収や歯肉退縮が起こる場合があります。 歯並びを整え、きちんと噛めるかみ合わせと調和の取れた口元を作るために、やむを得ず健康な歯を抜く場合があります。 保定のためのリテーナーを適切に使用しないと後戻りする場合があります。 |
※矯正歯科治療は公的健康保険の対象外の自由(自費)診療となります。
顎変形症 Case-3
治療前(29歳10ヶ月)
お手数をお掛けしますが症例の治療前説明のご協力をお願いいたします。
治療後(32歳11ヶ月)
お手数をお掛けしますが症例の治療前説明のご協力をお願いいたします。
| 主訴 | 下顎前突・下顎左側偏位・反対咬合 |
|---|---|
| 治療内容 | スタンダードエッジワイズ法にて外科的矯正治療を行いました。 |
| 治療に用いた主な装置 | マルチブラケット装置 |
| 抜歯部位 | 上顎両側4番抜歯、下顎両側4番抜歯 |
| 費用 | 保険適用 |
| 通院回数/治療期間 | |
| 副作用・リスク | 装置を初めて装着した時とワイヤーの調節を行った直後に数日間痛みを感じる場合があります。 歯に矯正装置を装着するため、歯磨きをしづらくなって磨き残しが多くなり、虫歯や歯周病にかかりやすくなることがあります。 歯を動かすことにより、歯根吸収や歯肉退縮が起こる場合があります。 歯並びを整え、きちんと噛めるかみ合わせと調和の取れた口元を作るために、やむを得ず健康な歯を抜く場合があります。 保定のためのリテーナーを適切に使用しないと後戻りする場合があります。 |
※矯正歯科治療は公的健康保険の対象外の自由(自費)診療となります。
顎変形症 Case-4
治療前(15歳6ヶ月)
下顎骨の過成長による下顎前突(反対咬合)の患者様です。こちらの方のようにあごの発育が原因である骨格性の不正咬合は、歯の移動だけではかみ合わせを改善することができないため、あご切りの外科手術と矯正治療を併用して、顔貌と咬合の改善を行います。
治療後(17歳8ヶ月)
下顎の切離手術により、下顎が長くしゃくれていた顔貌が改善されて、バランスの良い口元になりました。治療期間は2年2ヶ月です。
(あご切りの外科手術は、医療提携先の口腔外科で行いました。)
| 主訴 | 顎が出ている |
|---|---|
| 治療内容 | スタンダードエッジワイズ法にて外科的矯正治療を行いました。 |
| 治療に用いた主な装置 | マルチブラケット装置 |
| 抜歯部位 | 非抜歯 |
| 費用 | 保険適用 |
| 通院回数/治療期間 | 通院回数 26回 / 治療期間 約2年2ヶ月 |
| 副作用・リスク | 装置を初めて装着した時とワイヤーの調節を行った直後に数日間痛みを感じる場合があります。 歯に矯正装置を装着するため、歯磨きをしづらくなって磨き残しが多くなり、虫歯や歯周病にかかりやすくなることがあります。 歯を動かすことにより、歯根吸収や歯肉退縮が起こる場合があります。 歯並びを整え、きちんと噛めるかみ合わせと調和の取れた口元を作るために、やむを得ず健康な歯を抜く場合があります。 保定のためのリテーナーを適切に使用しないと後戻りする場合があります。 |
※矯正歯科治療は公的健康保険の対象外の自由(自費)診療となります。
顎変形症 Case-5
治療前(24才)
こちらの患者様は、顎が右側にずれており(偏位と言います)、かみ合わせもずれていました。口腔内を拝見すると、歯の中心(正中)が1歯分ずれていました。
治療後
外科手術と矯正治療を併用し、顎のずれが改善されました。正中も合い、きちんとかみ合っています。
(あご切りの外科手術は、医療提携先の口腔外科で行いました。)
| 主訴 | 顎が曲がっている、噛みにくい |
|---|---|
| 治療内容 | スタンダードエッジワイズ法にて外科的矯正治療を行いました。 |
| 治療に用いた主な装置 | マルチブラケット装置 |
| 抜歯部位 | 非抜歯 |
| 費用 | 保険適用 |
| 通院回数/治療期間 | 通院回数 30回 / 治療期間 約2年6ヶ月 |
| 副作用・リスク | 装置を初めて装着した時とワイヤーの調節を行った直後に数日間痛みを感じる場合があります。 歯に矯正装置を装着するため、歯磨きをしづらくなって磨き残しが多くなり、虫歯や歯周病にかかりやすくなることがあります。 歯を動かすことにより、歯根吸収や歯肉退縮が起こる場合があります。 歯並びを整え、きちんと噛めるかみ合わせと調和の取れた口元を作るために、やむを得ず健康な歯を抜く場合があります。 保定のためのリテーナーを適切に使用しないと後戻りする場合があります。 |
※矯正歯科治療は公的健康保険の対象外の自由(自費)診療となります。

